031-293-2207

YEONHAP DENTAL CLINIC

환자를
위한 진료

근거 중심

정밀한 진단을 바탕으로, 현재 상태에 꼭 필요한 치료만 신중하게 선택합니다.

보존 우선

가능한 한 자연치아를 살리는 방향을 먼저 고려하며,
과도한 치료보다 장기적인 구강 건강을 우선합니다.

사후 케어

치료 이후의 관리까지 진료의 일부로 생각하며,
회복 과정과 유지 관리가 안정적으로 이어지도록 돕습니다.

대표원장 안성진

안녕하세요.

연합치과의원 대표원장
안성진입니다.

치과 진료는 아픈 곳만 치료하는 일이 아니라
환자분의 일상과 앞으로의 삶을 함께
지켜가는 일이라고 생각합니다.
그래서 저는 항상 “내 가족을 치료하는 마음으로” 진료합니다.

처음 진단부터 치료의 마무리까지
제가 직접 책임지는 진료를 원칙으로 합니다.
꼼꼼하게 진단하고, 이해하기 쉽게 설명하며,
현재 상태에 꼭 필요한 치료만을 제안합니다.

치과 치료에 대한 부담을 알기에
결과뿐 아니라 과정에서의 신뢰를 중요하게 생각합니다.
조금 더 설명하고, 조금 더 고민하며, 끝까지 책임지는 진료.
연합치과의원은 오늘의 치료를 넘어
앞으로의 치아 건강까지 함께하겠습니다.

대표원장 안성진 싸인
배경 아이콘

연합치과의 진료 기준

자연치아 살리기

PRESERVING YOUR NATURAL TEETH

자연치아는 돈으로 환산해
평가할 수 있는 대상이 아닙니다.

그래서 연합치과는 치아를 쉽게 발치하기보다
살릴 수 있는 가능성을 먼저 고민합니다.
자연치아는 인공치아와 달리 치주 인대가 있어
치주질환 진행이 느리고 치료 반응도 더 안정적입니다.

자연치아 살리기
이것은 비용의 문제가 아니라,
연합치과가 지켜온 진료의 기준입니다.

얼굴사진
자연치아를 지키기 위한 연합치과의 노력
잇몸관리

잇몸관리

치아를 지탱하는 잇몸 상태부터 관리합니다.
초기 치주질환을 놓치지 않고 관리해
자연치아가 오래 유지될 수 있는 기반을 만듭니다.

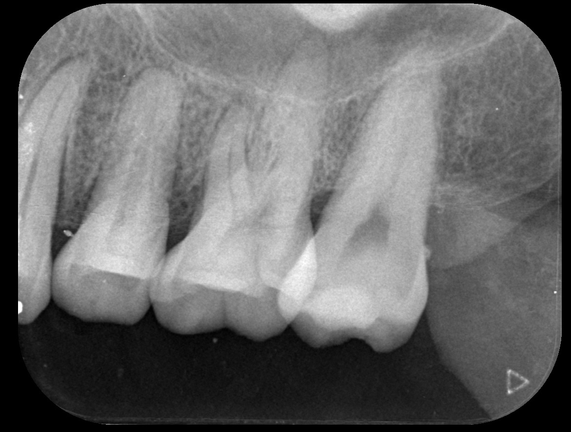
신경치료

신경치료

발치를 서두르기보다 살릴 수 있는 가능성을 먼저 고려합니다. 필요한 경우 MTA를 활용한 신경치료를 통해 치아 보존을 우선으로 합니다.

정기검진

정기검진

정기적인 검진으로 작은 변화도 조기에 확인해 치료 범위가 커지기 전 예방 중심의 관리를 이어갑니다.

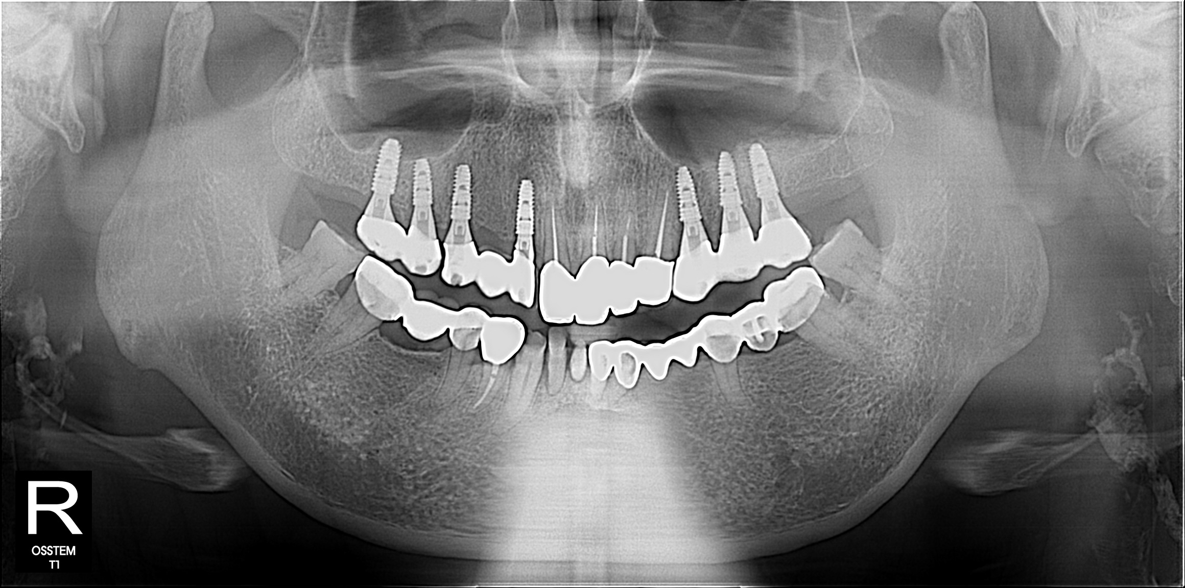
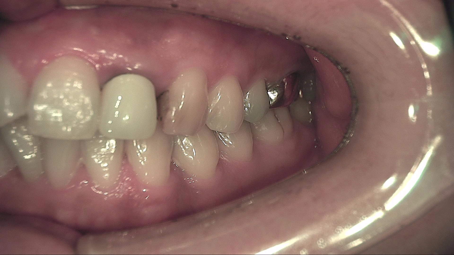
결과로 증명하는

치료케이스

상담부터 사후관리까지
환자 한 분, 한 분의 상태에맞춰 꼼꼼하게 진행합니다.

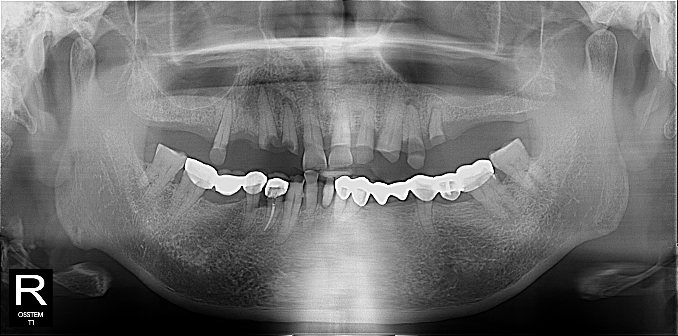
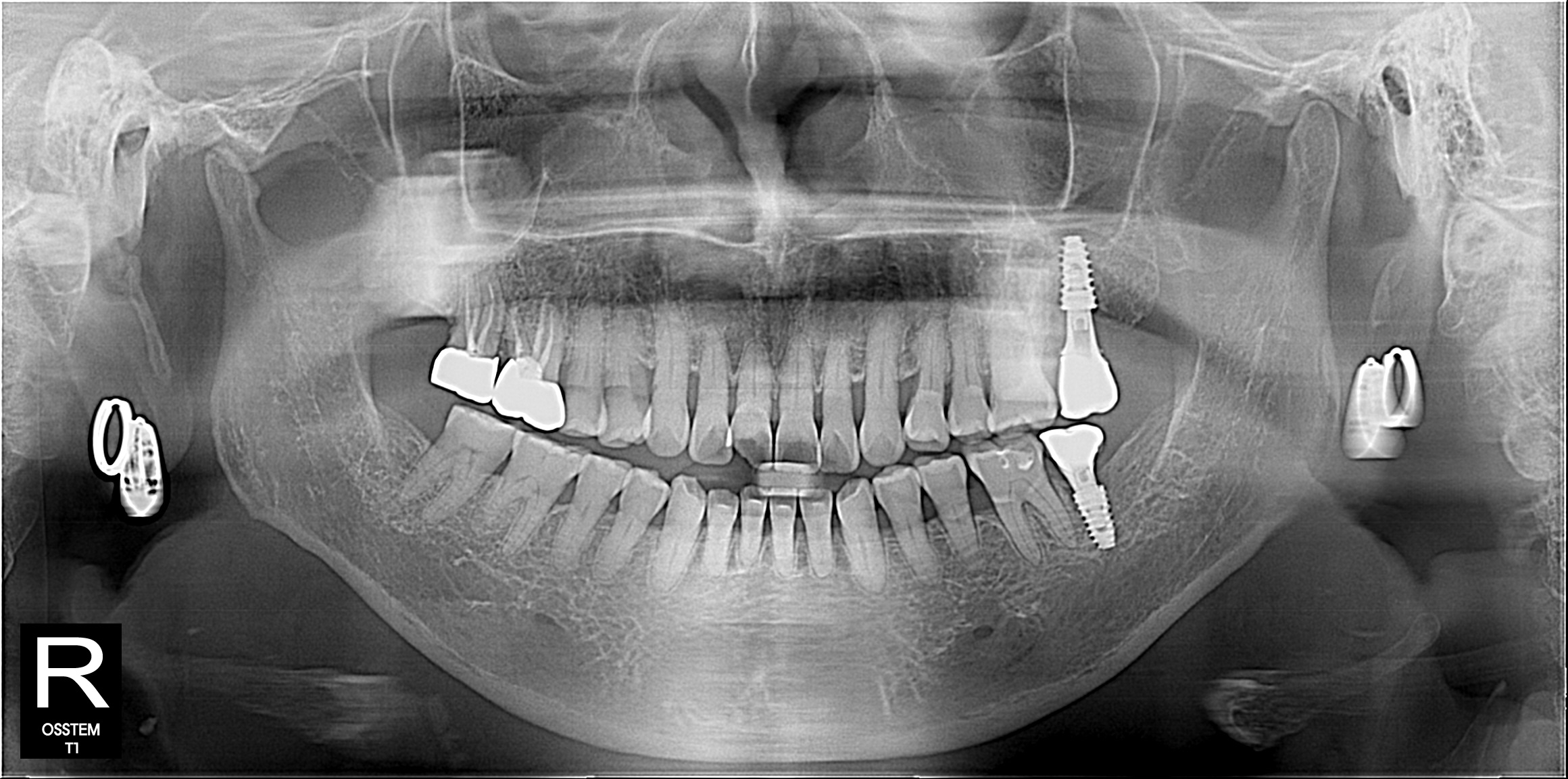
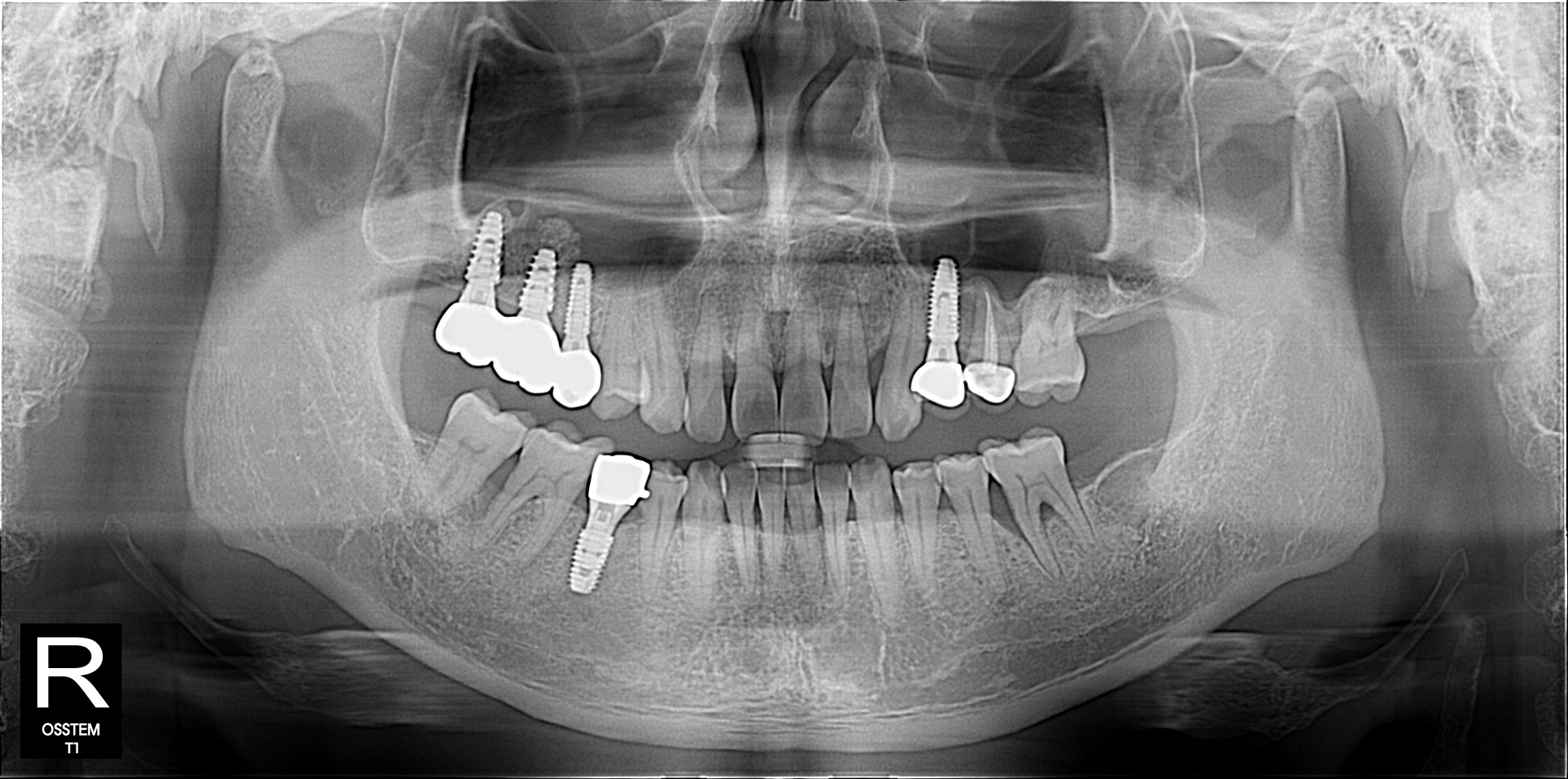
임플란트

BEFORE & AFTER

일반진료

BEFORE & AFTER

SUWON YEONHAP DENTAL CLINIC

디지털 장비

진료의 정확도와 안정성을 높이기 위해
연합치과의원은 정밀 진단부터 치료 과정까지 도움을 주는
디지털 장비를 도입해 보다 체계적이고 신뢰도 높은 진료를 이어가고 있습니다.

3D CT

3D CT

3차원 영상으로 구강 내부를 정밀하게 확인할 수 있는 3D CT 장비를 통해 더 안정적인 진료를 제공합니다.

큐레이

큐레이

육안으로 확인하기 어려운 미세한 충치까지 감지 가능한 광학식 치아우식 진단 장비로, 조기 진단과 과잉치료 예방에 기여합니다.

i-JECT

i-JECT

디지털 마취기로 국소 마취액을 자동으로 균일한 압력으로 주입하여 통증을 경감시키는 마취 장치입니다.

PHL-15

PHL-15

전기 신호로 근육을 이완시켜 턱근육의 경련과 긴장을 풀어줍니다.

K2 레이저

K2 레이저

연조직 절개와 소독, 염증 완화에 사용되며 출혈과 통증을 줄여 보다 편안한 시술을 돕는 레이저 장비입니다.

덴토존 플라즈마 소독기

덴토존 플라즈마 소독기

플라즈마 기술로 기구의 세균 · 바이러스를 제거해 안전하고 청결한 진료 환경을 유지하는 멸균 장비입니다.

PATIENT-FOCUSED DENTISTRY

환자 중심 진료 철학

디지털 장비로 상태를 면밀히 확인하고,
개인별 상황에 맞춘 치료 계획을 세웁니다.

SAFETY & HYGIENE STANDARD

연합치과는
위생을 가장 먼저 생각합니다

사용되는 모든 기구는 CDC · WHO 권고 기준에
부합하는 멸균 시스템으로
단계별 소독 · 멸균 과정을 철저히 거쳐 관리됩니다.